Estética dental en Santiago de Compostela. Clínica Blanco Ramos
16785
page-template,page-template-full_width,page-template-full_width-php,page,page-id-16785,page-child,parent-pageid-15656,,qode-title-hidden,qode_grid_1200,side_area_uncovered_from_content,vss_responsive_adv,qode-content-sidebar-responsive,qode-child-theme-ver-1.0.0,qode-theme-ver-11.0,qode-theme-bridge,wpb-js-composer js-comp-ver-6.10.0,vc_responsive,elementor-default,elementor-kit-19861

Estética Dental y Rehabilitación Oral

La odontología estética también conocida como estética dental es el área centrada en mejorar el aspecto de la sonrisa, con el objetivo de que los tratamientos se integren estando así en armonía con el resto de la boca y la cara siendo lo más conservadores posibles.

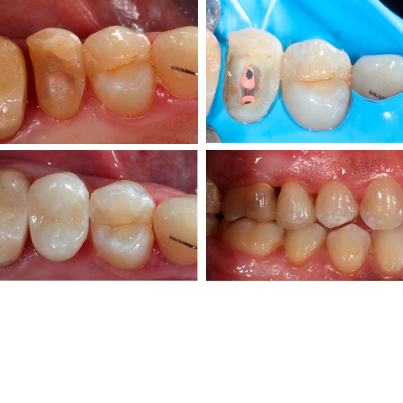
estetica dental blanco ramos
Los tratamientos de estética dental y rehabilitación oral que se desarrollan en la clínica son:
Diseño digital de la sonrisa (DSD)
diseño digital de la sonrisa

El diseño digital de la sonrisa consiste en la planificación de la sonrisa ideal del paciente de acuerdo con sus rasgos faciales, mediante herramientas digitales, a partir de una serie de fotografías de cada paciente. Permite realizar una prueba (mock-up) del diseño creado antes de comenzar el tratamiento, de tal forma que el paciente puede evaluar el cambio que le proponemos y el equipo de especialistas puede detectar aspectos a mejorar antes de comenzar y así podemos obtener la sonrisa deseada de modo más predecible y contribuir a una perfecta estética dental.

 

En la Clínica Blanco Ramos llevamos a cabo un estudio detallado de la sonrisa del paciente, a partir de una sesión fotográfica y los modelos del paciente mediante software digital realizamos un diseño de la sonrisa previo al inicio del tratamiento, que presentamos al paciente para su aprobación.

 

 

Blanqueamiento Dental
antes y despues del blanqueamiento dental

El blanqueamiento dental se realiza con el fin de aclarar el tono de los dientes y obtener una sonrisa más luminosa. Puede aplicarse a un diente, un grupo de dientes o a toda la arcada. Es el tratamiento estético más conservador que podemos realizar para mejorar la sonrisa, ya que no daña estructuralmente el diente.

 

El tono de los dientes está determinado por la dentina. Con la edad los dientes se vuelven más oscuros, debido a cambios en el grosor del esmalte y la dentina.

 

Además, los dientes están sometidos a tinciones intrínsecas y extrínsecas. Las tinciones intrínsecas o internas son aquellas producidas por cambios en la composición de los tejidos duros dentales, como las debidas al uso de antibióticos durante la formación de los dientes, además de las provocadas por los materiales restauradores en endodoncia, la amalgama o la caries. Por otro lado, las manchas extrínsecas son depósitos sobre la superficie dental, producidas por bebidas, como el café y el té, el tabaco o el acúmulo de placa bacteriana.

¿Por qué debe realizarse el blanqueamiento en una clínica dental?
Existen distintas opciones para conseguir unos dientes más blancos, por ello es necesaria la supervisión de un dentista que determine cuál es la opción más recomendada en cada caso.
¿Qué tratamientos hace la clínica? ¿Cómo son y cuánto tiempo duran los tratamientos?
En la mayoría de los casos para conseguir unos dientes más blancos es suficiente con realizar un tratamiento domiciliario, es decir, que realiza el paciente en casa siempre bajo la supervisión de un dentista. Consiste en la aplicación de un gel, en unas férulas confeccionadas a medida, durante un tiempo determinado que puede variar en función del caso.

 

Asimismo, el blanqueamiento dental se puede realizar en clínica. Está indicado en casos complejos, cuando los dientes son muy oscuros, cuando se quiere conseguir un efecto más inmediato o cuando los dientes están endodonciados.
Preguntas frecuentes sobre blanqueamiento dental:
¿Duele el blanqueamiento dental?
En ocasiones el blanqueamiento dental puede conllevar un aumento temporal de la sensibilidad dental. Durante las revisiones que realizamos durante el tratamiento, iremos controlando dicha eventualidad y ajustaremos la pauta de aplicación si fuese necesario.
¿Qué es blanqueamiento dental con cubetas?
Es el tratamiento en el que el gel de blanqueamiento se coloca en unas férulas, que son confeccionadas a medida, para cada paciente, a partir de unas impresiones previas.
¿Es efectivo el blanqueamiento para fumadores?
El tabaco no es un buen aliado de la salud de nuestra boca y, en general, de la salud de nuestro cuerpo. El efecto que tiene en un primer momento es sobre todo estético, eliminando poco a poco el blanco de nuestros dientes y derivando hacia un color amarillento característico. Además, ocasiona daños en las encías y provoca mal aliento. Un blanqueamiento dental supervisado por un dentista puede mejorar la estética dental de una persona fumadora.
Carillas Dentales o facetas

Las carillas dentales son también conocida como Odontología Mínimamente Invasiva son unas finas láminas que cubren la cara exterior del diente permitiendo mejorar el color y la forma de los mismos, así como cerrar los espacios y triángulos negros entre los dientes. Pueden ser de distintos materiales, como cerámica o composite. En determinadas ocasiones, pueden realizarse sin necesidad de tallar los dientes.

 

Son necesarias varias visitas para realizarlas, ya que debemos planificar cada caso individualmente para determinar el tratamiento más adecuado. En caso de que existan dudas, realizaremos una prueba para valorar el resultado final, tanto por el equipo odontológico como por el paciente.

 

En aquellos casos en los que es necesario preparar los dientes, el paciente llevará un provisional hasta la siguiente cita, que consiste en la prueba y el cementado de las carillas definitivas.

 

Las carillas dentales se adhieren a la superficie externa de los dientes creando un complejo diente-carilla muy resistente.

Preguntas frecuentes sobre carillas dentales:
¿Cuáles son las mejores carillas dentales?
Aunque existen diversos modelos y variantes, las carillas dentales suelen clasificarse en función del material con el que se fabrican. Las hay principalmente de dos tipos:

 

Carillas de composite 

 

Se colocan directamente sobre los dientes con un material, resina estética, muy parecida a la que se usa para realizar los empastes, por lo que habitualmente solo es necesaria una sesión para ponerlas, tras una primera visita al dentista en la que este determina el tratamiento más adecuado. Una de sus ventajas es, por lo tanto, la rapidez y facilidad de su colocación, así como su sencilla reparación. Además, son las carillas más respetuosas con el diente ya que no es necesario tallar el diente antes de colocarlas, y son especialmente apropiadas para corregir problemas estéticos leves. Las carillas de composite son las más económicas, pero también de menor calidad. Pueden fracturarse o perder su color y brillo en poco tiempo, por lo que suelen requerir una serie de visitas al dentista para su mantenimiento.

 

Carillas de cerámica 

 

Se realizan en un laboratorio dental e implican la necesidad de visitar al odontólogo al menos en varias ocasiones. Son más caras que las de composite, pero sus resultados son mucho más espectaculares, tanto por estética como por duración. Preservan el color y brillo de los dientes durante mucho tiempo sin tener que acudir al dentista para su mantenimiento, y su aspecto es más natural (la cerámica refleja mejor la luz). Se recomiendan para los casos más graves de decoloración, fracturas, astillado, dientes mal colocados, desiguales, falta de espacio y separación entre piezas (diastema). Son más difíciles de reparar y requieren un tallado del diente antes de colocarlas.

 

Es difícil estimar la duración de las carillas de cerámica, porque eso depende de los hábitos de vida de cada paciente, pero, en general, se sitúa entre los 15 y 20 años. Las de composite tienen una durabilidad bastante inferior, siendo esta de entre 5 y 10 años.
¿Qué es mejor carillas dentales o fundas?
El odontólogo especialista es el que ha de recomendar para cada caso qué es lo más conveniente, si las carillas o las fundas dentales. Las carillas, también llamadas “facetas de porcelana” son sólo unas finas láminas de porcelana de menos de un milímetro de grosor que se adhieren a la cara de delante de los dientes. Las fundas, también llamadas coronas, recubren totalmente la superficie del diente, como un capuchón.Las carillas sirven para mejorar el color o la forma de los dientes, y siempre se realizan por razones estéticas. No protegen ni refuerzan los dientes que las llevan; simplemente mejoran su aspecto estético. Las coronas pueden realizarse tanto por razones estéticas como por razones funcionales en dientes debilitados que necesiten ser protegidos y reforzados.
Incrustaciones

Al igual que las carillas dentales, pertenecen a la Odontología Mínimamente Invasiva y son restauraciones indirectas, es decir, fabricadas fuera de boca, que se emplean cuando se ha perdido gran parte de la estructura dental. Aportan más resistencia al diente, mejor función y estética sin necesidad de eliminar más tejido dental que el perdido.

 


Coronas

Son aquellas prótesis que restauran la anatomía y función de la corona natural. Pueden realizarse sobre dientes, para cambiar una corona antigua o cuando no se pueden hacer tratamientos más conservadores, o sobre implantes. Los avances científicos permiten emplear materiales más estéticos.

 


Puentes
puente dental

Su objetivo es reponer las ausencias de piezas dentales. Existen dos modalidades, sobre dientes, siendo necesario tallar los dientes adyacentes a la ausencia, o sobre implantes, cuando no se sustituye cada diente perdido por un implante. Al igual que con las coronas, podemos obtener resultados más estéticos gracias a los avances en los materiales y las técnicas de confección.

 


Prótesis dentales

tipos de protesis sobre implantes

Reponen todos o la mayoría de los dientes de una arcada. Pueden ser fijas (sobre dientes o implantes) o removibles, implanto-retenidas o soportadas por dientes o mucosa. Las prótesis removibles deben ser retiradas a diario para limpiarlas, y su estabilidad depende del sistema de retención, siendo más estables sobre implantes, seguidas por las prótesis removibles sobre dientes y por último las prótesis completas que están apoyadas en la mucosa, cuando no hay ningún diente.

 


La estética dental, rehabilitación oral o prótesis es el campo de la odontología cuya finalidad es recuperar la función siguiendo unos cánones estéticos. Aunque se trata de un área muy amplia, que en ocasiones requiere de otras disciplinas, generalmente hace referencia a la reposición de uno o varios dientes.
Siempre que sea posible se aplicarán los principios de la odontología mínimamente invasiva, que se basa en la prevención, el diagnóstico precoz y las restauraciones de mínima intervención, con el objetivo de conservar al máximo las estructuras dentales.
En la clínica Blanco Ramos contamos con la especialista Dra. Iria Darriba López en estética dental que con su experiencia y conocimientos una vez diagnosticado el problema llevará a cabo el tratamiento con apoyo de equipos y materiales de última generación y calidad.
En este artículo le explicamos algunas de las técnicas más demandadas actualmente en estética dental, como son las carillas dentales.